Down Syndrom

wikimedia.org / Department of Energy Human

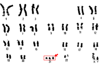
Menschen mit Down-Syndrom sind Botschafter der Vielfalt des Lebens. Sie tragen in ihren Körperzellen 47 statt der üblichen 46 Chromosomen. Das 21. Chromosom ist dreifach vorhanden, daher "Trisomie 21".

Dieses überschüssige Chromosom trägt jene Gene, die Menschen mit Down-Syndrom so unverwechselbar machen.

Die charakteristischen äußerlichen Merkmale und die besondere genetische "Ausstattung" prägen die Entwicklung der Kinder von Anfang an. Menschen mit Down-Syndrom gehören ganz selbstverständlich zu unserer Gesellschaft. Ihre Fähigkeiten und Fertigkeiten werden meist unterschätzt. Mit Unterstützung ist ein Leben in Selbständigkeit möglich.

Andere noch gebräuchliche Bezeichnungen sind: Trisomie 21, Morbus-Down. Informieren Sie sich in folgender Linkzusammenstellung über Down-Syndrom.

  • Arbeitskreis Down-Syndrom

    Auf dieser Seite finden Sie Informationen einer Selbsthilfegruppe über: Down-Syndrom, was ist das? Wo bekomme ich Hilfe? Büchertipp, Kreativität/Förderung, Spielzeug, Medizinische Fragen, Kranken-, Pflegeversicherung, Finanzen. Detailansicht

    down-syndrom.de

  • Deutsche Down-Syndrom Infocenter

    Auf dieser Webseite wir Hilfe für Eltern, Fachleute, angehende Fachleute und Interessierte angeboten. Detailansicht

    ds-infocenter.de

  • Down-Syndrom

    Hilfe für Menschen mit Down-Syndrom, für ihre Eltern und Geschwister in Deutschland. Detailansicht

    down-syndrom.org

  • Down-Syndrom Österreich

    Menschen mit Down-Syndrom tragen in ihren Körperzellen 47 statt der üblichen 46 Chromosomen. Das 21. Chromosom ist dreifach vorhanden, daher "Trisomie 21". Dieses überschüssige Chromosom trägt jene Gene, die Menschen mit Down-Syndrom so unverwechselbar machen. Hier finden Sie allgemeine Infor ... Detailansicht

    down-syndrom.at

  • Spracherwerb bei Kindern mit Down-Syndrom

    Hier finden Sie ein 25-seitiges PDF Dokument über den Spracherwerb bei Kindern mit Down-Syndrom. Detailansicht

    linse.uni-due.de

  • Trisomie 21

    Die Autoren dieser Webseite möchten Informationen zum Down-Syndrom verbreiten, die Erfahrungen mitteilen und Unterstützung geben bei der Bewältigung schwieriger Lebenssituationen. Detailansicht

    trisomie21.de

  • Vereinigung für Kinder mit Down - Syndrom

    Eltern und Freunde von Kindern mit Down-Syndrom. Sie haben sich zusammengeschlossen zu insieme - Vereinigung für Kinder mit Down-Syndrom, um sich gemeinsam für die Anliegen der Menschen mit Down-Syndrom einzusetzen. Detailansicht

    insieme21.ch

Meta-Daten

Sprache
Deutsch
Anbieter
Education Group
Veröffentlicht am
15.03.2010
Link
https://iom.schule.at/portale/informations-und-officemanagement/suche/detail/down-syndrom.html
Typ der Lernressource
Anderer Typ
Kostenpflichtig
nein